Parodontologi
Har du rött, svullet eller blödande tandkött? Parodontologi är specialistvården som behandlar tandköttssjukdomar och stärker tändernas stödjevävnad. På kliniken erbjuder vi avancerade behandlingar för att skydda din munhälsa och förbereda för lösningar som implantat. Boka en konsultation för att få ett friskare leende!
Vad är parodontologi?
På kliniken används avancerade metoder för att diagnostisera och behandla tandköttssjukdomar, från djuprengöring till kirurgiska ingrepp vid behov. Parodontologi spelar också en viktig roll i att bedöma prognosen för tandimplantat, eftersom friskt tandkött och tillräckligt med käkben är förutsättningar för lyckade implantatbehandlingar. Genom att behandla tandköttssjukdomar och stärka stödjevävnaden säkerställer parodontologisk vård långsiktig munhälsa och stabilitet. Denna specialistvård är en del av klinikens avancerade tjänster – läs mer på vår Specialisttjänster-sida.
Parodontologi är inte bara för dem med befintliga problem. Regelbundna kontroller kan förebygga sjukdomar och säkerställa att din mun är redo för estetiska eller funktionella behandlingar. Kliniken erbjuder skräddarsydda lösningar för att möta varje patients unika behov, oavsett om det gäller mild inflammation eller avancerad tandlossning.
Parodontologi för en vanlig person
vad innebär det?
Vår specialist inom parodontologi
Kliniken är stolt över att ha en kvalificerad specialist inom parodontologi som leder våra behandlingar för tandköttssjukdomar. Med omfattande erfarenhet och avancerad utbildning inom diagnostik och behandling av gingivit, parodontit och implantatprognos, säkerställer vår specialist att varje patient får vård av högsta kvalitet. Genom att använda de senaste teknikerna, som laserbehandlingar och minimalinvasiva metoder, skräddarsys varje behandlingsplan för optimala resultat.
Vår specialist samarbetar också med andra team på kliniken, inklusive de inom Implantat och Protetik, för att säkerställa en helhetsbaserad vård. Detta gör kliniken till ett pålitligt val för både förebyggande och avancerad parodontologisk behandling.
Våra parodontologiska behandlingar
Parodontologi på kliniken omfattar flera specialiserade behandlingar för att behandla och förebygga tandköttssjukdomar. Här är en översikt över de vanligaste tjänsterna:
Periimplantit
Periimplantit är en inflammation runt tandimplantat som kan äventyra deras stabilitet. Behandlingen inkluderar rengöring och kirurgiska ingrepp för att bevara implantatet.
Tillbakadraget tandkött
Tillbakadraget tandkött exponerar tandroten och orsakar känslighet. Behandlingar som mjukvävnadstransplantat återställer tandköttets hälsa.
Behandling av gingivit
Vad är det?
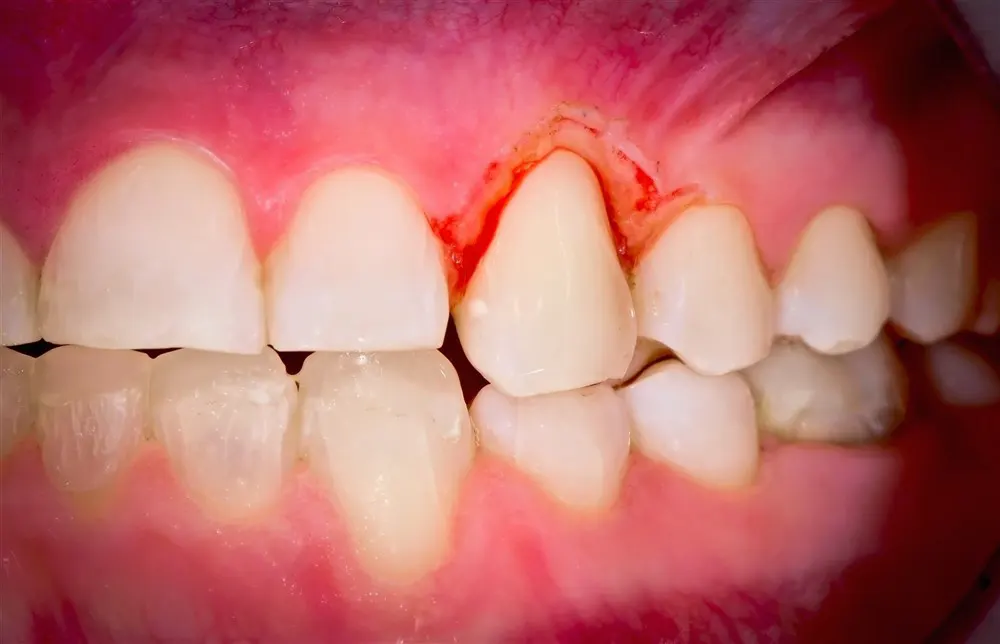
Gingivit är en mild inflammation i tandköttet orsakad av plack och bakterier. Symtom inkluderar rött, svullet eller blödande tandkött, ofta utan smärta.
Hur vi hjälper dig
Behandlingen börjar med en noggrann rengöring för att ta bort plack och tandsten, ofta med ultraljud. Vi ger råd om munhygien, som korrekt borstning och tandtråd, för att vända inflammationen. Behandlingen är skonsam och klar på 1–2 besök.
Fördelar
- Stoppar inflammation innan den blir allvarlig.
- Förbättrar tandköttets hälsa och utseende.
- Förebygger utvecklingen till parodontit.
Behandling av parodontit
Parodontit är en avancerad infektion som skadar tandköttet och käkbenet, vilket kan leda till tandlossning. Symtom inkluderar djupa tandköttsfickor, lösa tänder och dålig andedräkt.
Hur vi hjälper dig
Vi utför djuprengöring (skalning och rotplaning) för att ta bort bakterier under tandköttet. Vid behov används laserbehandlingar eller kirurgi för att återställa vävnaden. Behandlingen kan ta flera besök, med uppföljning för att övervaka läkning.
Fördelar
- Stoppar tandlossning och bevarar tänder.
- Minskar infektion och förbättrar munhälsa.
- Förbereder munnen för implantat om behövs.
Implantatprognos
Implantatprognos innebär att bedöma om tandköttet och käkbenet är tillräckligt friska för att stödja tandimplantat, vilket är avgörande för framgångsrika implantatbehandlingar.
Hur vi hjälper dig
Vi undersöker tandköttet och käkbenet med röntgen och kliniska tester för att bedöma benvolym och tandköttshälsa. Om behandling behövs, som benuppbyggnad eller tandköttsrengöring, utförs detta först. Detta säkerställer att implantatbehandlingar blir hållbara.
Fördelar
- Ökar chanserna för lyckade implantat.
- Säkerställer långsiktig stabilitet.
- Skräddarsydd förberedelse för varje patient.
Stödjevävnadsbehandlingar
Stödjevävnadsbehandlingar återställer eller stärker tandköttet och käkbenet, ofta vid avancerad parodontit eller som förberedelse för implantat.
Hur vi hjälper dig
Vi använder tekniker som benregeneration, mjukvävnadstransplantat eller laserbehandlingar för att återuppbygga skadad vävnad. Behandlingarna är minimalinvasiva och anpassas efter patientens behov, med uppföljning för att säkerställa läkning.
Fördelar
- Återställer tandköttets och benets hälsa.
- Förbättrar tändernas stabilitet.
- Möjliggör avancerade behandlingar som implantat.
Hur fungerar parodontologisk vård hos kliniken?
Parodontologisk vård är en specialiserad process som börjar med en noggrann bedömning och slutar med friskare tandkött. Här är hur det går till:
Konsultation
Vid första besöket undersöks tandköttet och käkbenet med kliniska tester och röntgen för att identifiera inflammation eller skador. En behandlingsplan skapas baserat på resultatet.
Behandlingsplan
Alternativen gås igenom, som djuprengöring, laserbehandling eller kirurgi, och ett kostnadsförslag presenteras innan behandlingen börjar.
Behandling
Beroende på tillståndet utförs behandlingar som skalning, rotplaning eller kirurgiska ingrepp. Behandlingarna är skonsamma och utförs ofta under lokalbedövning för komfort.
Uppföljning
Regelbundna kontroller bokas för att övervaka läkning och säkerställa att tandköttet förblir friskt. Förebyggande råd ges för att bibehålla resultatet.
Långsiktig vård
Patienter får stöd för att förebygga återfall, inklusive munhygienråd och rekommendationer för regelbundna besök.
Tidsram
Enkel gingivit kan behandlas på 1–2 besök, medan parodontit eller implantatprognos kan kräva flera sessioner över några månader.
Fördelar med parodontologi hos kliniken
Att välja parodontologisk vård hos kliniken innebär:
Specialistexpertis: Avancerad vård utförd av kvalificerade specialister.
Minimalinvasiva metoder: Modern teknik som laser för skonsamma behandlingar.
Långsiktig hälsa: Stoppar tandlossning och förbereder för implantat.
Skräddarsydda planer: Behandlingar anpassade efter varje patients behov.
Helhetsvård: Samarbete med andra specialisttjänster för komplett vård.
Förebyggande tips för friskt tandkött
För att hålla tandköttet friskt och minska risken för tandköttssjukdomar, följ dessa tips:
Borsta två gånger om dagen med en mjuk tandborste och fluortandkräm, särskilt längs tandköttskanten.
Använd tandtråd eller mellanrumsborstar dagligen för att ta bort plack mellan tänderna.
Skölj med antiseptiskt munsköl för att minska bakterier, särskilt vid tidiga tecken på inflammation.
Undvik rökning, eftersom tobak förvärrar tandköttssjukdomar.
Besök kliniken regelbundet för kontroller och professionell rengöring.
Flera specialistbehandlingar
Många akuta tandproblem leder till uppföljande behandlingar för att säkerställa långsiktig hälsa. På Birka Tandhälsa erbjuder vi:
Implantat
Om en utslagen tand inte kan räddas, kan vår specialist Dr. Fredrik Wernsten ersätta den med ett hållbart tandimplantat.
Protetik
För en krona eller bro som lossnat kan Dr. Nicole skapa en ny, estetisk lösning.
Parodontologi
Infektioner i tandköttet eller käkbenet kan kräva specialistvård för att förbereda munnen för implantat eller skydda andra tänder.
Estetisk tandvård
Om en akut skada påverkar ditt leende, kan vi erbjuda lösningar som tandreglering eller behandling av missfärgade fyllningar.
Vår Specialisttjänster-sida ger en överblick av dessa avancerade behandlingar.
